Застрягла прямо у трахеї: в Одеській області підліток випадково вдихнув шпильку
У Львові врятували підлітка, який випадково вдихнув шпильку (колаж: РБК-Україна)
У місті Білгород-Дністровський Одеської області стався шокуючий клінічний випадок. Медики провели ювелірну операцію, щоб врятувати підлітка, який випадково вдихнув гостру металеву шпильку.
Про це повідомляє РБК-Україна (проект Styler) з посиланням на Facebook-сторінку "Білгород-Дністровської міської багатопрофільної лікарні".
Деталі випадку
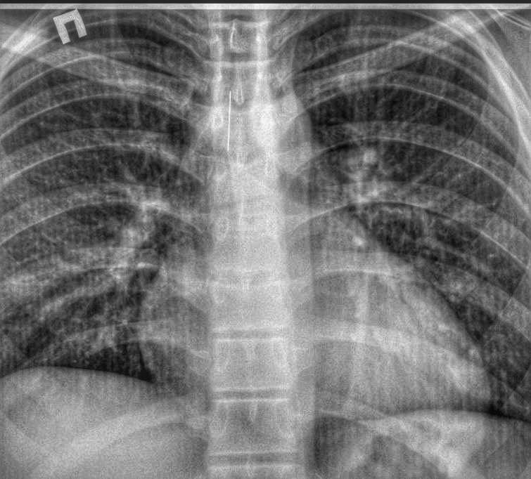
Клінічний випадок трапився 2 лютого. Підліток був доставлений до приймального відділення міської лікарні з одного з селищ району зі стороннім тілом в трахеї.
Завдяки високій кваліфікації чергового хірурга та анестезіологічної бригади, ендоскопічним методом було видалено стороннє тіло - голка довжиною 4 см.
Підлітку під наркозом провели бронхоскопію та дістали шпильку, яка гострим кінцем встромилася у слизову та нікуди не рухалася.
Гострий предмет міг викликати перфорацію - пробити легені або через стінку бронха потрапити і в серце. Наслідки могли бути трагічними.
Зараз пацієнт почуває себе задовільно та перебуває під наглядом медичного персоналу в хірургічному відділенні. Він також отримує антибіотикотерапію, адже сама шпилька не була стерильним предметом.
"Ця ювелірна робота була проведена в міській лікарні завдяки сучасному ендоскопічному обладнанню, яке використовується в міській лікарні, раніше ж такі випадки лікувались в обласному центрі", - йдеться у повідомленні.



У Львові врятували підлітка, який випадково вдихнув шпильку (фото: facebook.com/KNPBDMBL)
Раніше ми повідомляли, що у Рівному чоловік 10 років проходив із скалкою в носі.
Також читайте, що в Україні в організмі дитини виявили ложку, яка знаходилась там кілька місяців.