Во Львове врачи спасли 17-летнего парня: гвоздем пробило легкое
Коллаж РБК-Украина: во Львове врачи вытащили гвоздь из легкого подростка
Во Львове врачи спасли 17-летнего парня из Львовской области, которому гвоздезабивной пневматический пистолет случайно выстрелил в грудную клетку.
Об этом сообщает львовская областная детская клиническая больница "Охматдет" на своей странице в Facebook.
Медики были шокированы, когда скорая помощь привезла парня с ранением грудной клетки. У него было поражено левое легкое.
Молодой человек любит мастерить. Инцидент произошел в субботу, 3 апреля, когда он прибивал дощечки. После работы он собрал инструменты, споткнулся на лестнице и упал.

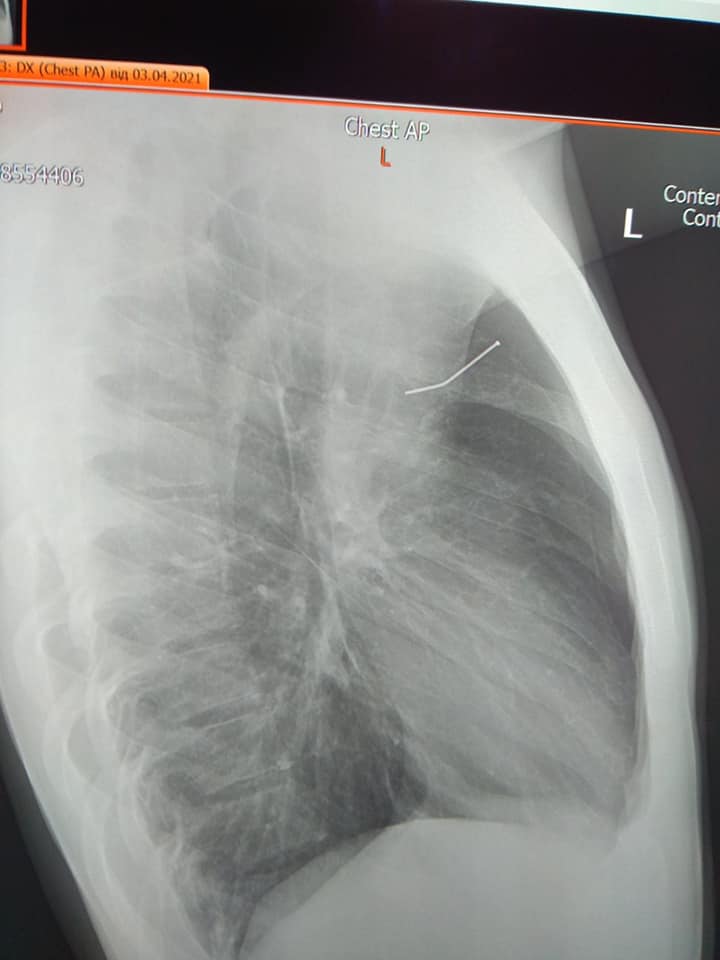
Во Львове врачи вытащили гвоздь из легкого подростка (фото: facebook.com/OHMATDYTLVIV)
При этом гвоздезабивной пневматический пистолет случайно выстрелил ему гвоздем в грудную клетку. Парень начал задыхаться, ему вызвали "скорую". У него было тяжелое состояние, одышка и боль в левой половине грудной клетки.
У молодого человека развился левосторонний пневмоторакс - воздух попал в грудную клетку, сдавило левое легкое и смещало сердце вправо. Парню сделали рентген и подозрение врачей оправдалось. У него был гвоздь в области левого легкого.

Во Львове врачи вытащили гвоздь из легкого подростка (фото: facebook.com/OHMATDYTLVIV)
По словам медиков, парню очень повезло, что гвоздь не пробил аорту, а ведь до нее было всего несколько миллиметров. В противном случае он бы не выжил.
Гвоздь доктора доставали без разрезов, поскольку его локализация не позволяла этого сделать. Медики использовали новую методику лечения - торакоскопию.
Парень уже идет на поправку. Чтобы рана зажила понадобиться еще несколько дней.
Напомним, в Запорожье с пациентов требовали деньги за бесплатные операции.
Ранее во Львове врачи провели сверхсложную операцию.