В Днепре ребенок проглотил булавку: врачи спасли необычным способом (фото)
Ребенок проглотил булавку в Днепре (коллаж РБК-Украина)
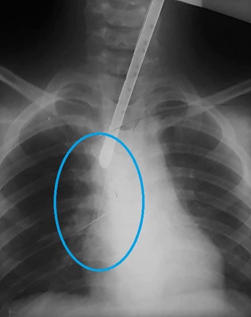
В Днепре в больницу попал ребенок с булавкой в дыхательных путях. В частности, шпилька успела подколоться к трахее, что затруднило ее извлечение.
Об этом рассказали на странице Днепропетровской областной детской больницы.
Как медики спасали ребенка
Так, ребенок проглотил булавку, и во время диагностического эндоскопического исследования оказалось, что она подкололась к трахее.
В частности, доставали посторонний предмет целая бригада медиков. Сначала они пытались ее достать с помощью "петли", но шпилька начала "мигрировать" вниз дыхательными путями. Там до правого бронха она підкололася к сегментарной бронхи и через неосторожное движение могло стать причиной осложнений.
По словам медиков, они просчитали разные варианты развития событий и приняли крайне нестандартное решение, а именно ввести через жесткий бронхоскоп гибкий бронхоскоп.



Медики без операции достали из бронхов ребенка булавку (facebook.com/odkl.org)
Поэтому после некоторых осторожных и медленных манипуляций им удалось удалить злосчастную шпильку из дыхательных путей маленького пациента и почти не травмируя слизистую ни бронха, ни трахеи.
Маленький пациент пробыл ночь в больнице, а наутро его выписали домой.
"Всего участие в этой остросюжетной "спецоперации" сверхсложного удаления инородного тела принимали почти два десятка специалистов Днепропетровской областной детской клинической больницы - анестезиологи, реаниматологи, хирурги, эндоскописты", - написали медики.
Ранее мы сообщали, что в Днепре врачи спасли роженицу с коронавирусом и онкологией.
Также мы писали, что на Закарпатье ребенок едва не умер от игрушки.